We are experiencing a very high volume of calls and messages and ask for your patience. We will answer your portal messages within 48 hours.
 
A woman is born with all the eggs she will ever have. The number of eggs is at its peak (6-7 million) when a female fetus is still in her mother’s womb at 20 weeks of pregnancy. The number of eggs (oocytes) then decreases for the rest of her life. At birth, there are about 1 – 2 million eggs, 300,000 – 500,000 at puberty, 25,000 at age 37 years, and 1,000 at age 51 years (which is the average age of menopause in the US).

Fertility, for a woman, starts to decline in her late twenties. It decreases significantly at age 32 years, and decreases more rapidly after age 37 years. This is mainly due to a decrease in egg quality and is reflected in a gradual increase in the follicle stimulating hormone (FSH) level and a decrease in the anti-mullerian hormone (AMH) level.
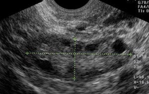
 Ultrasound evaluation of the ovaries is another method for evaluating egg quality. The ovarian volume (> 3 cc) and the number of antral follicles (little black circles in the ovary which contain eggs, at least 3 – 4 in each ovary) give a good idea of the “ovarian age”.
 Ultrasound evaluation of the ovaries is another method for evaluating egg quality. The ovarian volume (> 3 cc) and the number of antral follicles (little black circles in the ovary which contain eggs, at least 3 – 4 in each ovary) give a good idea of the “ovarian age”.

Age alone has an impact on fertility. The chance of having a baby with in vitro fertilization (IVF) decreases as age increases. National statistics for the U.S. in 2010 showed the percentage of embryo transfers that resulted in a live-birth was 47.8% in women < 35 y, 38.4% in women 35 – 37 y, 28.1% in women aged 38 – 40 y and 16.8% in women aged 41 – 42 y.
Age generally does not have a significant impact on uterine receptivity. This is so because in donor egg cycles (where the eggs are obtained from healthy young donors), 55.6% of transfers resulted in a live birth, regardless of the age of the recipient.
As age increases, the risks of other disorders that may adversely affect fertility, such as fibroids, tubal disease, and endometriosis, also increase.
Women with a history of ovarian surgery, chemotherapy, radiation therapy, severe endometriosis, smoking, or pelvic infection, or a strong family history of early menopause, may be at increased risk for having a premature decline in the number and quality of eggs available.
The age-related decline in fertility is accompanied by a significant increase in the rates of chromosomally abnormal eggs and embryos. In women > age 40, ≥ 70% of the embryos may be chromosomally abnormal. This is the main reason why we transfer more embryos and still have relatively low pregnancy rates in this age group.
The incidence of spontaneous miscarriage also increases with age. Whereas 9.9% of women younger than 33 years who conceive during IVF with a fresh embryo transfer experience a pregnancy loss after fetal heart activity is observed, the rate of miscarriage progressively increases to 11.4% for women aged 33–34 years, 13.7% for women aged 35–37 years, 19.8% for women aged 38–40 years, 29.9% for women aged 41–42 years, and 36.6% for women older than 42 years.
With the anticipated age-related decline in fertility, the increased incidence of disorders that impair fertility, and the higher risk of pregnancy loss, women older than 35 years should receive expedited evaluation and treatment after 6 months of failed attempts to conceive, or earlier if clinically indicated. A physician board certified in Reproductive Endocrinology and Infertility is the best choice for fertility treatment.
Infertility Infertility treatment InVia Fertility Specialists Top 10
 
        
          Entire Website © 2003 - 2020
Karande and Associates d/b/a InVia
Fertility Specialists
        
